Самый мощный в мире МРТ-аппарат Iseult в несколько раз превзошел конкурентов

9

Самый мощный в мире МРТ-аппарат Iseult в несколько раз превзошел конкурентов

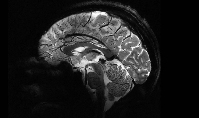
Во Франции разработан самый мощный в мире МРТ-аппарат Iseult — он способен обеспечить напряженность поля на уровне 11,7 Тесла. Это в несколько раз превосходит возможности массово применяемых МРТ-аппаратов в современных клиниках.

Главным отличием Iseult является возможность сканирования мозга в намного более высоком разрешении. Всего за 240 секунд он способен сделать снимки человеческого мозга в виде 1-миллиметровых срезов. Обычный МРТ для получения таких результатов потребует 2 часов неподвижного нахождения пациента внутри.

Самый мощный в мире МРТ-аппарат Iseult в несколько раз превзошел конкурентов

Несколькими годами ранее Iseult испытывался на тыквах, сейчас его протестировали на 20 добровольцах. Полученные изображения раскрывают весь потенциал технологии МРТ и позволяют лучше понять, как работает мозг. При этом, сверхмощный томограф может быть полезен не только ученым, но и медикам. С его помощью можно изучать и диагностировать такие нейродегенеративные недуги, как болезни Паркинсона и Альцгеймера.

Сообщается, что Iseult весит 132 тонны при размерах 5 на 5 метров, а внутри него уложены 183 километра сверхпроводящих кабелей. Чтобы охлаждать магниты до рабочей температуры -271,35 °C необходимо 7500 литров сжиженного гелия. О стоимости устройства информации нет, но нет сомнений, что она весьма высока. Новый МРТ-аппарат, предлагающий уникальные возможности, может в ближайшие годы появиться в некоторых передовых научных учреждениях.


Источник: www.techcult.ru

Comments are closed.