Ученые впервые проследили, как меняется мозг человека от рождения до смерти

16

Ученые впервые проследили, как меняется мозг человека от рождения до смерти

Сотни ученых по всему миру объединили свои результаты МРТ-сканирований для создания первой в мире диаграммы роста мозга.

Исследователи собрали воедино тысячи сканирований мозга и составили эталонные диаграммы развития этого органа у человека

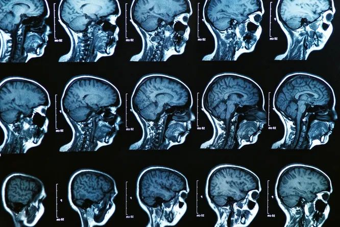
Хотя мы знаем, что человеческий мозг претерпевает ряд значительных изменений в течение жизни, у врачей сегодня нет возможности оценить, нормально ли развивается мозг в том или ином возрасте. Как выглядит нормальный здоровый мозг в 15 лет и чем он отличается от мозга в 45 лет? Ученые из Кембриджского и Пенсильванского университетов объединились с сотнями исследователей со всего мира, чтобы решить эту проблему.

Чтобы создать серию диаграмм, отслеживающих динамику развития мозга в течение жизни, исследователям сначала нужно было собрать огромный набор данных. Поскольку фМРТ головного мозга — дорогостоящий и трудоемкий процесс, одна команда ученых не могла собрать все необходимые данные. Поэтому исследователи стремились сотрудничать с сотнями ученых по всему миру, каждый из которых проводил свое собственные сканирования мозга.

Чтобы не потеряться и всегда быть на связи, читайте нас в Яндекс.Дзене и не забывайте подписаться на нас в Telegram, ВКонтакте и Одноклассниках!

Как мозг развивается на протяжении жизни

В результате масштабного проекта было собрано 123 984 МРТ-снимка от более чем 100 000 человек. Сканирование охватывало людей в широком интервале возрастов – от 100 лет до плода возрастом 15 недель.

В результате авторы исследования впервые смогли получить набор эталонных диаграмм, отслеживающих структурные изменения мозга на протяжении всей жизни человека. А масштаб набора данных позволил исследователям создать шкалу, позволяющую определить нормальные спектры размеров мозга для разных возрастных диапазонов.

Новое исследование показало, например, что объем серого вещества в человеческом мозге достигает пика в возрасте шести лет, но белое вещество продолжает расти примерно до 29 лет. Примерно в возрасте 50 лет объем белого вещества в головном мозге начинает стремительно уменьшаться.

Источник: earth-chronicles.ru

Comments are closed.